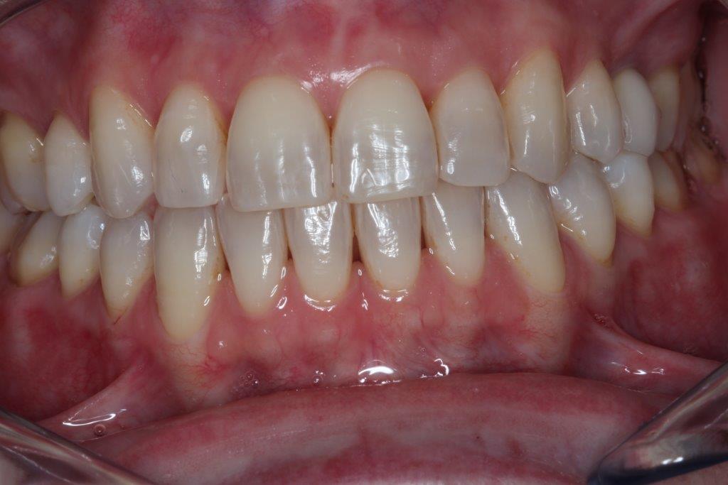
ODONTOLOGÍA ESTÉTICA
Rama de la odontología que se centra en mejorar la apariencia de nuestros dientes y encías, mejorando así nuestra sonrisa a nivel estética respetando siempre la salud dental y la función oral.
En nuestra clínica, manejamos diversos tratamientos y procedimientos para ello:
- Rehabilitaciones directas en resina sobre encerado diagnóstico
- Blanqueamiento y aclaramientos dentales
- Carillas dentales
- Contorneado dental
En casos más complejos, se pueden realizar tratamientos integrales combinando estas técnicas con rehabilitación con implantes y ortodoncia.
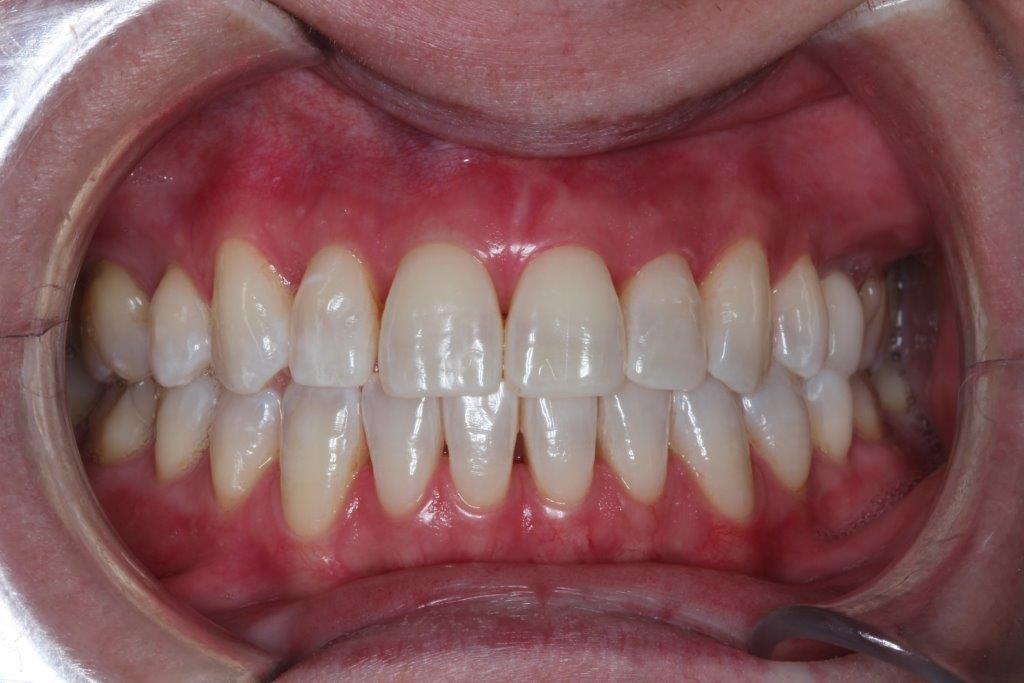
ACLARAMIENTO DENTAL
El aclaramiento dental es la alternativa perfecta a aquellos pacientes que no se quieren someter a un tratamiento de blanqueamiento, bien por razones económicas o de falta de tiempo para acudir a las citas.
Aunque el resultado no es el conseguido con las concentraciones de peróxido de hidrógeno utilizadas en un blanqueamiento tradicional ni podemos lograr una mejora de 3/4 tonos de blanco logrando así una sonrisa inmediatamente más luminosa tras tu limpieza sin necesidad de proteger tus encías, en un tiempo record y sin provocar sensibilidad dental.








